?
2015-08-05 19:40?出處 廣州日報

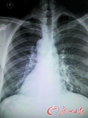
X光片上患者的心臟陰影在右邊。
東莞現鏡面人,五臟六腑長的位置和一般人相反,正常人的心臟、脾臟在左側,肝臟在右側。但日前,東莞市第八人民醫院收治的一名病人正好相反,他的心臟、脾臟在右邊,肝臟在左邊。
醫生告訴記者,前兩天患者袁先生因下腹疼痛來就診,在門診時醫生進行抗炎、止痛治療,但病情卻無好轉。袁先生隨后入院進行腹痛查因,醫生檢查后才發現,患者竟然是“鏡面人”。
所謂“鏡面人”,又稱“鏡子人”或“鏡像人”,即心臟、肝臟、脾臟、膽等器官的位置與正常人相反,心臟、脾臟在右邊,肝臟位于左邊,心、肝、脾的位置好像是正常臟器的鏡中像。醫生告訴記者,“鏡面人”發生幾率約為百萬分之一。
醫生趕快拿起聽診器聽診心音區,發現患者右側心音較左側明顯,跟常人相反。經胸片、心電圖及B超等檢查后,確診患者為急性化膿性闌尾炎內臟反位,也就是“鏡面人”得了闌尾炎。
急性化膿性闌尾炎必須急診手術,而“鏡面人”手術時卻與常人手術有著很大的不同,必須都反著來。通過術前手術方式的重新設計和精心準備后,患者于當日急診行了闌尾切除術,手術非常順利,很快袁先生康復出院。
東莞鏡面人患者是做間諜的人選呀,遭遇敵人襲擊,如果敵人瞄準他的心臟位置就打空了。
本文“”來源:http://www.f0574.cn/news/shehui/59921.html,轉載必須保留網址。作者:記者汪萬里